پست های مشابه

دکتر سمانه رازقی

شاعر می‌فرماید: بارها گفته ایم و بار دگر می‌گوییم باید این *دندانِ شش*، را روی سر بگذاریم 😁😁 منظور از دندان شش، اولین دندان آسیاب دائمی هست که در حدود شش سالگی و در انتهای دهان و در پشت آخرین دندان‌های شیری رویش پیدا می‌کنه. 🔆 نکته کنکوری: برای رویش این دندان، هیچ دندان شیری‌ای لق نمیشه و نمیفته. پس توروخدا مواظب‌شون باشید و از رعایت بهداشت و سالم بودن‌شون غافل نشین.  در این بیمار، با پوسیدگی شدید دندان شش، بعد از برداشت پوسیدگی، به دلیل عمیق بودن حفره و نزدیک بودن به عصب دندان (پالپ)، درمان محافظتی (پوشش غیرمستقیم پالپ: IPC) انجام شد و ترمیم همرنگ دندان (کامپوزیت) به عنوان ترمیم روی تاج قرار داده شد. سوالی باشه در خدمت‌ام. 😁🤗🙏 # مولر_اول_دائمی #دندان_کرسی_دائمی #پوسیدگی_دندان_کودکان #دندان_شش_سالگي #دندان_شش #بهداشت_دهان_و_دندان #first_permanent_molar #permanent_dentition #oral_hygiene #oral_health_care #dental_visit #dental_checkup

27 تیر 1400 15:18:08

17 بازدید

دکتر سمانه رازقی

عادت #مسواک_زدن رو چطور در کودکمون شکل بدیم؟ سوالی که خیلی زیاد از طرف والدین پرسیده می‌شه. چند راهکار مناسب رو در ویدئو ببینید. 🔅 نکته مهم اینه که #رفتارهای_سلامت هر چه در سنین پائین‌تری آغاز بشن، راحت‌تر شکل می‌گیرن و با احتمال بیشتری تا سنین بزرگسالی ادامه پیدا می‌کنن. تجربه شما در مسواک زدن برای کودک‌تون چیه؟ #مسواک_کودک #مسواک_و_خمیردندان #مسواک_زدن_کودکان #عادت_مسواک_زدن_کودکان #جایزه #دو_بار_مسواک_هر_بار_دو_دقیقه

06 تیر 1401 16:11:24

121 بازدید

دکتر سمانه رازقی

میوه یا آبمیوه؟ مساله این است 😄 مصرف #میوه کامل، سالمتر از خوردن آب همون میوه هست، حتی اگر #آبمیوه بصورت طبیعی و تازه تهیه بشه. به دو علت: اول: پوست و #پالپ_میوه سرشار از #فیبر هست که برای سلامت بسیار مفیدند. آبمیوه فاقد فیبر هست و باعث میشه قند میوه به سرعت جذب و مقدارش در خون بالا بره. به دلیل مشابه، #پوسیدگی زایی آبمیوه در دندان ها، بیشتر از میوه کامل هست. دوم: درصد بالایی از #ویتامین ها و سایر مواد مغذی میوه ها در پوست و پالپ میوه قرار دارند که در روند تهیه آبمیوه با حذف پالپ، به حداقل کاهش پیدا می کنند. ✅ مقدار مجاز آبمیوه در کودکان زیر شش سال به اندازه یک فنجان و در کودکان بالای هفت سال و نوجوانان به اندازه یک لیوان در روز است. با توحه به توضیحات بالا حالا شما بگین: آبمیوه سالم تره یا #اسموتی؟؟ 🥤  #پوسیدگی_دندان #تغذیه_سالم #پیشگیری_از_پوسیدگی_دندان #سایش_دندان #juice #smoothie #whole_fruite #fruite_juice #prevention_of_dental_caries #prevention_is_better_than_cure

09 اردیبهشت 1400 15:05:57

19 بازدید

دکتر سمانه رازقی

فضانگهدار وسیله‌ای به منظور حفظ فضای دندان شیری‌ای است که زودتر از موقع، از دست رفته است. در صورت عدم استفاده از این وسیله، فضای دندان شیری به علت جابجایی دندان‌های مجاور، بسته می‌شود و دندان دائمی جانشین در زمان رویش فضای کافی نخواهد داشت. این وسیله بصورت ثابت روی دندان عقب قرار می‌گیرد و به محض رویش دندان دائمی در محل دندان شیری از دست رفته، از دهان خارج می‌شود. سوال دارین بفرمایین. #فضانگهداردندان #فضا_نگهدارنده #دندان_شیری #کشیدن_دندان_شیری #ارتودنسی_پیشگیری #حفظ_فضای_دندان_دائمی #space_maintenance #space_maintainer #preventive_orthodontic_treatment #extraction

07 آذر 1400 16:34:18

60 بازدید

دکتر سمانه رازقی

در صدمات دندانی که منجر به بیرون افتادن کامل دندان از درون حفره استخوانی می‌شوند، اقدام صحیح و فوری در کمتر از *یکساعت* می‌تواند دندان را نجات دهد. ⏳🦷 🔅 جایگذاری مجدد دندان در این شرایط *فقط در مورد دندان‌های دائمی* انجام می‌شود. در دندانی شیری بیرون افتاده، به دلیل خطر آسیب به جوانه دندان دائمی، هیچ تلاشی برای جایگذاری مجدد نباید انجام شود. ❗محتوای آموزشی برگرفته از پروژه تحقیقاتی #گروه_سلامت_دهان_و_دندانپزشکی_اجتماعی #دانشگاه_علوم_پزشکی_تهران است که با مشارکت همکار خوبم سرکار خانم دکتر محبی @siminz.mohebbi به انجام رسیده‌است. با سپاس مجدد از دوست هنرمند عزیز شادروان محمدرضا اکبری @mohammadrezaakbariii و با تشکر از برادر خوبم برای طراحی و گرافیک عالی بروشور و اپلیکیشن صدمات دندانی @razeqi.ir منتظر سوالات و نظرات شما در کامنت‌ها هستم. 🙏😊 #مدیریت_صدمات_دندانی #اورژانس_دندانپزشکی #ضربه_به_دندان #tooth_avulsion #emergency_management #dental_trauma

04 شهریور 1400 17:16:07

41 بازدید

دکتر سمانه رازقی

داشتن لبخند زیبا از سنین خیلی پایین برای کودکان مهم می‌شه. 👶 خیلی از بچه‌هایی که دندون‌های جلویی‌شون پوسیده و یا شکسته ست، از خندیدن و لبخند زدن در جمع همسالان‌شون خودداری می‌کنن 😞. حفظ سلامت دندان‌های کودکان در درجه اول به مراقبت از دندان‌های کودک از سنین خیلی پایین و توسط والدین برمی‌گرده 👶🧒👧 اما در موارد پوسیدگی دندان هم راه چاره وجود داره 😊 یکی از این راه ها ترمیم دندان‌های شیری با استفاده از مواد همرنگ دندان هست. 🤩🦷 این دختر کوچولوی سه و نیم ساله‌مون  با همکاری فوق العاده‌ش، حالا یک لبخند قشنگ‌تر داره. 😄😍😇 #ترمیم_کامپوزیت_دندان #ترمیم_دندان_شیری #ترمیم_همرنگ_دندان #composite_restoration #self_steem #young_children

06 مهر 1400 15:47:58

37 بازدید

سمانه رازقی

2

4

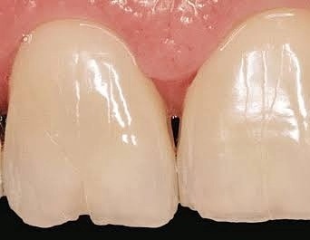
بعضی از افراد عادت دارن از دندون‌هاشون استفاده‌‌های دیگه‌ای ، به جز جویدن غذا😁، بکنن؛ مثل جدا کردن قطعات لگو، باز کردن بسته چیپس، باز کردن شیشه لاک ناخن، باز و بسته کردن بند ساعت، جدا کردن تگ قیمت لباس و ... این کارها میتونه به مینای دندان فشار و ضربه وارد کنه، لبه دندان‌ها رو دچار شکستگی و پریدگی کنه، و ترک‌هایی رو در مینای دندان ایجاد کنه که بعدها رنگ می‌گیرن و ظاهری نازیبا ایجاد می‌کنن (تصویر آخر).   شما چه عادات غلط مشابهی رو سراغ دارین؟ برامون بنویسین! 🙏😊 #استفاده_نامناسب_از_دندان #جویدن_ناخن #پریدگی_لبه_دندان #ترک_مینای_دندان #enamel_crack #chipped_enamel #inappropriateuseofteeth

02 آذر 1401 23:29:12

دختر من از دو سالگی تا الان به شدت ناخن هاش رو میجوه

mina

-1 پاسخ

14 اردیبهشت 1402 22:36:20

سعی کنید استرسش رو کم کنید و تشویقش کنید دستکش دست کنه تا از سرش بیفته و خوراکی هایی که به جویدن زیاد نیاز دارن مثل هویج بهش بدین بخوره و تقویتش کنید

شما میتوانید مطالب بیشتری از صفحات محتوایی و دیگر صفحات بامانو بخوانید

برای دسترسی نامحدود به مطالب و استفاده از امکانات دیگر اپلیکیشن بامانو مانند ساخت آلبوم خانوادگی، اپلیکیشن بامانو را نصب کنید. با عضو شدن شما از محتواهایی پشتیبانی میکنید که دوست دارید بیشتر از آن ها مطلع باشید

دکتر سمانه رازقی

سمانه رازقی

2

4

بعضی از افراد عادت دارن از دندون‌هاشون استفاده‌‌های دیگه‌ای ، به جز جویدن غذا😁، بکنن؛ مثل جدا کردن قطعات لگو، باز کردن بسته چیپس، باز کردن شیشه لاک ناخن، باز و بسته کردن بند ساعت، جدا کردن تگ قیمت لباس و ... این کارها میتونه به مینای دندان فشار و ضربه وارد کنه، لبه دندان‌ها رو دچار شکستگی و پریدگی کنه، و ترک‌هایی رو در مینای دندان ایجاد کنه که بعدها رنگ می‌گیرن و ظاهری نازیبا ایجاد می‌کنن (تصویر آخر).   شما چه عادات غلط مشابهی رو سراغ دارین؟ برامون بنویسین! 🙏😊 #استفاده_نامناسب_از_دندان #جویدن_ناخن #پریدگی_لبه_دندان #ترک_مینای_دندان #enamel_crack #chipped_enamel #inappropriateuseofteeth

دختر من از دو سالگی تا الان به شدت ناخن هاش رو میجوه mina

02 آذر 1401 23:29:12

-1 پاسخ

سعی کنید استرسش رو کم کنید و تشویقش کنید دستکش دست کنه تا از سرش بیفته و خوراکی هایی که به جویدن زیاد نیاز دارن مثل هویج بهش بدین بخوره و تقویتش کنید

14 اردیبهشت 1402 22:36:20

شما میتوانید مطالب بیشتری از صفحات محتوایی و دیگر صفحات بامانو بخوانید

برای دسترسی نامحدود به مطالب و استفاده از امکانات دیگر اپلیکیشن بامانو مانند ساخت آلبوم خانوادگی، اپلیکیشن بامانو را نصب کنید. با عضو شدن شما از محتواهایی پشتیبانی میکنید که دوست دارید بیشتر از آن ها مطلع باشید

پست های مشابه

برو به اپلیکیشن